|
To view image enlargements, please click on the patient photos below.
If you would like to know more about this procedure, please call 01732 459 222 or click here to contact Sevenoaks Smile Studio today.
|
| |
|
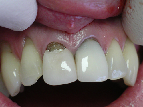
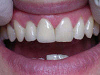
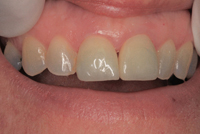
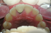
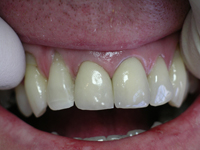
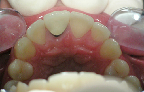
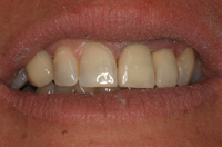
| Case Study 1 |
|
|
|
| |
|
|
|
| |
|
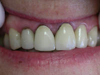
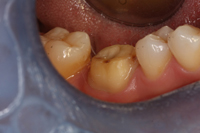
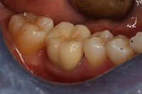
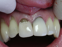
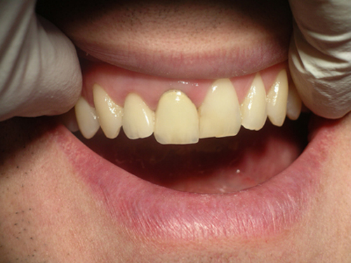
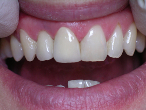
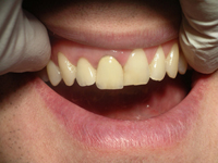
| Case Study 2 |
|
|
|
| |
 |
| |
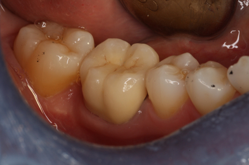
| Case Study 3 |
|
|
| |
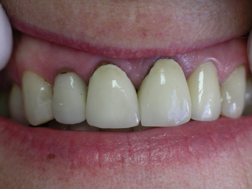
| Case Study 4 |
|
|
| |
 |
| |
| Case Study 5 |
|
|
| |
| Case Study 6 |
|
|
| |
| Case Study 7 |
|
|
For more information, please contact Sevenoaks Smile Studio today. Call 01732 459222 or click here to email us.
|