Bridges Gallery

  » Ask Our Team
» Meet Dr. Ian Brignall
» View Patient Testimonials

To view image enlargements, please click on the patient photos below.

If you would like to know more about this procedure, please call 01732 459 222 or click here to contact Sevenoaks Smile Studio today.

 

Bridges - Before & After Photos
   
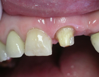
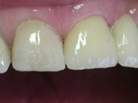
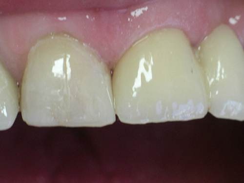
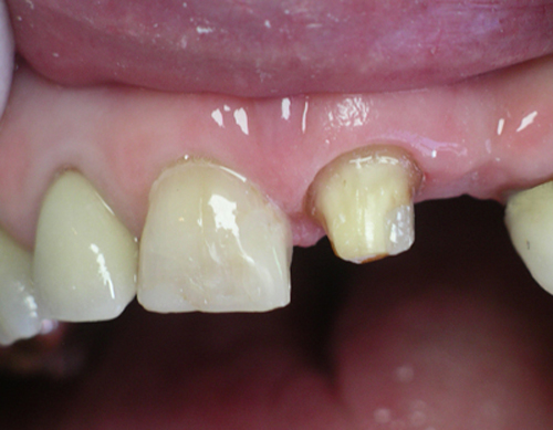
Case Study 1  
   

For more information, please contact Sevenoaks Smile Studio today. Call 01732 459222 or click here to email us.

Adhesive Bridge
Bonding
Bridal Makeovers
Bridges
Crowns
Dentures
Implant Retained Bridges
Implant Retained Overdentures
Onlays
Single Tooth Implant
Inman Aligner
Recontouring
Smile Makeovers
Veneers
White Fillings (Front)
White Fillings (Back)
Composite Veneers
Whitening